Home/Smile Gallery

Smile Gallery

Περιστατικά ιατρείου που άλλαξαν τη ζωή τους!

Πριν & Μετά: Περιστατικά Ιατρείου

Κάθε θεραπεία που αναλαμβάνουμε στο ιατρείο μας αποτελεί μια προσωπική διαδρομή προς την υγεία και την αυτοπεποίθηση. Μέσα από τις ενδεικτικές περιπτώσεις που παρουσιάζονται σε αυτή τη σελίδα, μπορείτε να δείτε πώς μια στοχευμένη, επιστημονικά τεκμηριωμένη και αισθητικά ευαίσθητη προσέγγιση μπορεί να μεταμορφώσει όχι μόνο το χαμόγελο, αλλά και την καθημερινότητα ενός ανθρώπου.

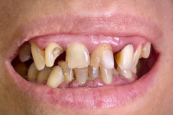
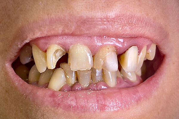
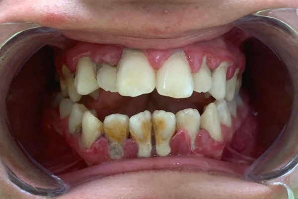
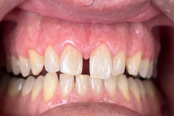
BEFORE
AFTER

Αισθητική Οδοντιατρική - Dr. Teodora Dumitriu

Όψεις Ρητίνης
BEFORE
AFTER

Όψεις Ρητίνης - Dr. Teodora Dumitriu

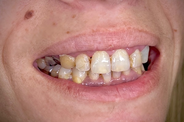
BEFORE
AFTER

Καθαρισμός - Dr. Teodora Dumitriu

BEFORE
AFTER

Αισθητική Οδοντιατρική - Dr. Teodora Dumitriu

BEFORE
AFTER

Οδοντικές Θήκες - Dr. Teodora Dumitriu

BEFORE
AFTER

Οδοντικές Θήκες Ζιρκονίας - Dr. Teodora Dumitriu

BEFORE
AFTER

Όψεις Ρητίνης - Dr. Teodora Dumitriu

BEFORE
AFTER

Όψεις Ρητίνης - Dr. Teodora Dumitriu

BEFORE
AFTER

Σφραγίσματα - Dr. Teodora Dumitriu

BEFORE
AFTER

Όψεις Ρητίνης - Dr. Teodora Dumitriu

Όψεις ρητίνης ΒeforeΌψεις ρητίνης After
BEFORE
AFTER

Όψεις Ρητίνης - Dr. Teodora Dumitriu

Θήκες Ζιρκονίας BeforeΘήκες Ζιρκονίας After
BEFORE
AFTER

Οδοντικές Θήκες Ζιρκονίας - Dr. Teodora Dumitriu

Όψεις ρητίνης BeforeΌψεις ρητίνης After
BEFORE
AFTER

Όψεις Ρητίνης - Dr. Teodora Dumitriu

θήκες ζιρκονίας beforeΘήκες ζιρκονίας After
BEFORE
AFTER

Οδοντικές Θήκες Ζιρκονίας - Dr. Teodora Dumitriu

BEFORE
AFTER

Οδοντικές Θήκες Ζιρκονίας - Dr. Teodora Dumitriu